Переключаемся на позитив
Не стоит зацикливаться на избавлении от негатива
В определенный момент, вы его сами почувствуете, надо сказать себе – «С меня хватит!», и переключить внимание на построение новой реальности
Страх, обиды, уныние в прошлом, по крайней мере, большая часть
Теперь всё хорошо! Теперь надо перевести внимание на укрепление связи своего сознания со своим Истинным Я. Ведь только Истинное Я человека способно вывести его из угнетенного состояния и привести к лучшей реальности
Не переживайте, что что-то останется незамеченным. С повышением энергетических вибраций и направлением мышления в конструктивное русло, оставшиеся блоки будут сами проявляться. Они уже просто не смогут быть с вами. Тут надо понять, что «всплыло» (выявить идеализацию), осознать, принять и отпустить. Но это уже не такой сложный труд.
Вот я нашла хороший курс по очищению от блоков на каждой чакре . Ценность данной методики в том, что по ходу работы с каждой чакрой, человек самостоятельно очищает свою энергетику и настраивает свою ценностную систему.
Еще можно применять духовные инструменты: радость, благодарность, благословление, посыл безусловной любви. Так же можно использовать мантры. В общем, все, что способствует повышению вибраций и выходу на свою духовную составляющую.
ПЭАТ
Когда люди впервые слышат о технике ПЭАТ, то думают, что это какое-то удобрение или научная аббревиатура. В некотором роде это подходящая метафора для объяснения того, что ПЭАТ делает для людей. Живорад Михайлович Славинский является изобретателем этой альтернативной лечебной терапии. Практикующий психолог с более чем 50-летней практикой и плодовитый писатель, Живорад всегда ищет более эффективные, быстрые и удобные способы снять психологические блоки людей. В результате он разработал эту замечательную технику в 1999 году, в которой сочетаются психология, точечный массаж и энергетическое исцеление. Он сравнивает ПЭАТ с формой «духовной технологии», потому что утверждает, что мощные эффекты лечения ПЭАТ являются быстрыми и в большинстве случаев постоянными. Люди с фобиями, страхами, психологическими блоками, которые ограничивают их или даже с физическими недугами, обнаружили, что после одной или двух сессий терапии их первоначальная проблема больше не оказывает сильного влияния на них или полностью устранена.
Способы устранения мышечных зажимов
на напряженные участки мышц. Это различные виды массажей. Благодаря массажу мышца становится мягкой, разглаживается, в нее поступает достаточно питательных веществ, улучшается газообмен.
Наблюдение за реакциями,
которые при тактильном воздействии выражает человек. Обучение правильному выражению эмоций, разрешению «их чувствовать» и проживать естественно, но безопасно. Признание права на любые эмоции, в том числе и негативные.
Техника спонтанных движений.
Спонтанные хаотичные движения хороши тем, что вначале человек не совсем понимает, как ему двигаться. Ведь поначалу в нем еще сильны социальные паттерны движений. Но постепенно расслабляясь, он научается слышать свое тело, чувствовать каждую его клеточку. Мой практический опыт показывает, что спонтанные движения уже к завершению работы становятся плавными, красивыми, гармоничными. Большинство, познакомившись с техникой спонтанных движений, начинают практиковать ее постоянно.
Танцевальная терапия.
Сходна с техникой спонтанных движений, отличается от нее тем, что изначально движения задает терапевт, на протяжении проработки проблемы клиента «ведут» от танца к технике спонтанных движений.
Релаксации, медитации, визуализации.
Китайские практики и гимнастики
(цигун, ушу, Тай -Цзию Цюань и др. ) ставят перед собой цель вернуть гибкость, расслабленность, слаженность в движениях тела и души. Тем самым открыть в человеке постоянный источник радости, безмятежности, счастья. Упражнения китайской гимнастики, как правило, выполняются плавно, как в замедленном кино. После нескольких сеансов таких упражнений люди ощущают прилив сил, выпрямляется осанка, исчезают проблемы с суставами, другие психосоматические реакции.
Эти практики являются многослойными, как слоеный пирог. От слоя простых утилитарных целей, таких, как улучшение здоровья или умения отразить нападки противника, до сложных философских концепций.
Так, например, Тай-Цзи- Цюань является телесным вариантов постижения философских основ даосизма. А вместе с ним и понимания через тело и особые движения основ мироздания.
Телесная психотерапия.
Во многом она похожа на другие направления психотерапии, так как в работе много наблюдений, анализа и обсуждений. Только в ней тело является серьезным и полноправным партнером в психотерапевтическом процессе. Идет ли речь об анализе, понимании себя, своих ценностей и интересов, своих выборов и пр., тело тут имеет свое «право голоса». Только говорит оно не словами, а изменением реакций, от напряжения-расслабления в какой-то части до изменения тембра голоса.
И в этом смысле психотерапевт в чем-то отчасти похож на переводчика. Благодаря этому клиент лучше понимает не только свои телесные реакции, но и свои глубокие психологические процессы, связанные с «истинным Я».
Об этом подробнее поговорим в другой статье.

Вот почему при работе с эмоциональным напряжением так эффективна телесная психотерапия. Ведь в результате такой работы человек физически ощущает освобождение огромного количества энергии, появление другого, ресурсного состояния. Именно эта энергия использовалась организмом для того, чтобы «держать оборону» даже тогда, когда враг не собирается нападать. А теперь этот ресурс можно направить на созидание.
Для того чтобы помочь вам полнее познакомиться со своими эмоциями, подружиться с ними, разрешить себе «чувствовать», я написала книгу, в которой обобщила свой опыт работы с зажатыми, непроявленными эмоциями. В ней можно найти способы безопасного выражения чувств, а также эффективные упражнения, помогающие проработать давние невыраженные эмоции. Она называется «Как разрешить себе сильные переживания, эмоции и чувства, не разрушая себя и окружающих».
Клинические проявления блоков
Мышечный блок всегда вызывает боли, которые бывают острыми, ноющими и невыносимыми. Иногда они внезапно возникают, а в другой раз постепенно нарастают, давая о себе знать заранее. Проявляясь в определенной зоне, болью может быть охвачена соседняя группа мышц. Например, через некоторое время у вас начнут болеть большие участки на теле и проблему разрешить окажется сложнее.
Перенапряженная мускулатура не дает телу с конечностями нормально функционировать или ограничивает их подвижность. Спазм нескольких групп мышц способен привести к обездвиживанию, затрудненному дыханию и прочим неприятностям.
Таким образом, мышечный зажим становится сигналом о поражении организма в том или ином месте. Нередко подобные спазмы приводят к нарушению водно-электролитного баланса. Также мышечные блоки могут подтверждать нестабильность психоэмоциональной сферы. Как бы то ни было, мышечный зажим, подобно боли, является важным симптомом, который нельзя игнорировать. Нужно обратиться к доктору с первыми же неприятными ощущениями при движении и постараться выявить реальную причину нарушения.

Советы психолога
Вот еще несколько советов психологов, которые помогут вам отвлечься от дурных мыслей.
- Окружите себя позитивными людьми. Мы перенимаем поведение людей, с которыми общаемся. Общаясь с пессимистами, вы тоже станете пессимистом. И деструктивное мышление станет для вас нормой. Общайтесь с оптимистами и заряжайтесь от них позитивной энергией.
- Расскажите близкому человеку о том, что вас беспокоит и тревожит. Он вас выслушает, поддержит и, возможно, подскажет правильное решение проблемы. Психологи утверждают, что иногда достаточно просто высказать свои мысли в удобной обстановке, чтобы негативные суждения вас покинули. Особенно это актуально для женщин, которым как раз надо просто выговориться.
- Применяйте технику глубокого дыхания, когда чувствуете, что дурные мысли вас захватывают. Делайте глубокий вдох на счет 4 и такой же глубокий выдох. Это поможет вам успокоиться и расслабиться.
- Регулярно выполняйте физические упражнения. Психическое и физическое здоровье неразрывно связаны между собой. Спорт помогает снять стресс, избавиться от напряжения, способствует выработке эндорфинов. А человек, в организме которого преобладают гормоны счастья, уже не будет мыслить деструктивно.
- Слушайте любимую музыку, которая вызывает у вас приятные эмоции. Музыка оказывает сильное влияние на наше настроение. Задорный мотив, бодрый ритм – и вот вы уже улыбаетесь, а все плохие мысли ушли прочь.
- Сосредоточьтесь на том, что происходит в настоящий момент времени. Негативные рассуждения связаны либо с прошлым (сожаление, вина), либо с будущим (страх, что что-то пойдет не так или не получится). Во время таких размышлений вы теряете связь с настоящим. Мне очень нравится фраза из мультфильма “Кунг-фу панда”: ”Прошлое забыто, будущее закрыто, настоящее даровано”.
- Благодарите судьбу за все хорошее, что есть в вашей жизни, за каждый прожитый день. Находите радость в маленьких вещах: солнечный свет, пение птиц, смех детей, красивые цветы и т. д. Как только вы поймете и почувствуете, что счастье находится совсем рядом – внутри вас, вы уже не будете зацикливаться на негативе.
Я рекомендую вам посмотреть небольшое видео, на котором молодой человек рассказывает, как ему удалось справиться с навязчивыми дурными мыслями.
На что это похоже. Признаки эмоционального выгорания
Вот фразы, с которыми ко мне приходят клиенты:
- «Мне плохо без причины»;
- «Я не вижу смысла ехать на работу, которую раньше так любил»;
- «Чувствую апатию и тоску»;
- «Меня преследует хроническая усталость»;
- «Я так мало всего делаю и добиваюсь, все мои достижения ничего не стоят»;
- «На работе завал, а я сижу в оцепенении».
«Диагностика» эмоционального выгорания опирается на вполне конкретные маркеры. Диагностика в кавычках, потому что это не официальный диагноз из МКБ-10 и не болезнь, это психологическая проблема.
При эмоциональном выгорании симптомы и признаки самые разные:
- Проблемы со здоровьем — утомляемость, бессонница или сонливость, затрудненное дыхание, одышка, потливость, повышение артериального давления, изменение аппетита.
- Проблемы с настроением (эмоциональные симптомы) — чувство грусти, опустошенности, пессимистичная оценка прошлого и будущего, ощущение беспомощности и безнадежности, потеря профессиональных перспектив, а также тревога, беспокойство, цинизм.
- Трудности планирования и контроля своих действий — необдуманные действия, чрезмерное употребление табака, алкоголя, постоянное желание отдохнуть.
- Потеря интереса к новому, скука, тоска, апатия, снисходительное отношение к работе.
- Ощущение изоляции, непонимания со стороны других, ощущение недостатка поддержки со стороны близких.
Эмоциональное выгорание и депрессия. Эмоциональное выгорание признаками похоже на депрессию. Действительно, часть симптомов здесь общая — сниженное настроение, потеря мотивации, негативный образ будущего, оба синдрома хронические. Но депрессия — это клиническое расстройство, которое может быть биологически обусловлено, например, гормональным дисбалансом или тяжелым заболеванием. Депрессия имеет другой механизм восстановления. Отдыхом или накоплением ресурсов, как правило, здесь мало чем поможешь. А при эмоциональном выгорании — восстановление баланса «давать» и «брать», эмоциональная разгрузка — это важнейший первый шаг.
Депрессия и эмоциональное выгорание различны и требуют совершенно разного подхода к решению и восстановлению.
Как подавленные эмоции остаются жить в нашем теле
Эмоции – важнейшая сфера, от которой напрямую зависит качество нашей жизни. К сожалению, большинство из нас не умеет обращаться с чувствами, боится их, не понимает, не осознает. Мы часто делим их на правильные и неправильные, и излюбленный способ «расправы» с неугодными эмоциями – подавление и сдерживание. Это мешает нам свободно общаться и проявлять себя, делает нас мишенью для манипуляций и лишает независимости. Но к тому же еще и отражается на состоянии нашего тела.
Состояние нашего ума и эмоциональной сферы напрямую воздействует на тело. Мы сами не замечаем, как совершаем мельчайшие движения, напрягаем и расслабляем мышцы, в зависимости от того, что чувствуем и думаем. Мы можем сжиматься от страха, сутулиться из-за неуверенности, напрягаться, пытаясь сдержать слезы, гнев или обиду. Тело запоминает все эти неосознанные движения. И если какая-то неприятная эмоция посещает нас регулярно, образуются зажимы или мышечные блоки.
Они есть у большинства из нас. Ведь обычный человек постоянно запрещает себе какие-то чувства – негативные или позитивные. А у многих зажато практически все тело. Думаю, вы видели таких людей – не гибких, двигающихся, как манекены, слишком прямых или наоборот, сгорбленных.
Зажимы неприятны сами по себе и к тому же со временем становятся причиной болезней. На «содержание» телесных блоков уходит огромное количество энергии. Само напряжение мышц требует сил, плюс мы постоянно преодолеваем их сопротивление в повседневной деятельности. Нам сложно расслабиться даже во сне, из-за этого отдых получается неполноценным. Человек может, например, чувствовать себя уставшим, сколько бы ни спал. А дело не в том, что он не выспался, просто тело не отдохнуло.
В напряженном теле практически невозможно расслабить ум. И наоборот – когда наша эмоциональная сфера перенапряжена, мышцам не расслабиться, они скованы.
Интересный факт, подтверждающий связь состояния опорно-двигательного аппарата и различных эмоций – после смерти в человеческом теле выпрямляется большинство искривлений позвоночника и снимаются различные блоки – потому что все время своей жизни человек держал их собственными мыслями и чувствами.
Как избавиться от нервного тика
Для того чтобы освободить себя от неприятных ощущений, нужно, прежде всего, устранить их проблему. Иногда для этого достаточно просто хорошенько выспаться. В другом случае требуется на некоторое время сменить обстановку, выйти из разрушающей среды.
Из вспомогательных методов применяют травяные успокаивающие чаи, ванны с добавлением ароматических масел, плавание, прогулки на свежем воздухе или занятия спортом: бег, йога.
Внесите в ваше меню ингредиенты с повышенным содержанием кальция и магния. К таковым относят кисломолочные продукты, гречка, отрубной хлеб, красная рыба, яйца, мясо. Среди овощей и фруктов выделяют свеклу, смородину, сухофрукты, орехи и петрушку.
Если данные продукты не вписываются в ваш рацион, подумайте о приеме соответствующих витаминных комплексов. Не злоупотребляйте крепким чаем и кофе.
А главное: сохраняйте оптимизм и спокойствие в любой ситуации!
В случаях, когда состояние усугубляется, прибегают к помощи психотерапии. Особо действенной является когнитивная поведенческая терапия, помогающая пресечь тиковые нарушения в стадии их предвестников.
При проведении терапии реверсии привычек пациентов обучают движениям, способствующим предотвращению развития неврологических лицевых симптомов.
Из медикаментозных средств используют противосудорожные препараты и миорелаксанты, уколы ботокса, антидепрессанты.
Если перечисленные методы неэффективны в борьбе с нервным тиком, обращаются к глубокой стимуляции мозга. В ГМ устанавливают устройство, которое контролирует электрические импульсы.
Что такое мышечный зажим
По сути, мышечный зажим, а также блок, спазм, или мышечный панцирь – это мышца либо группа мышц, которая не может полностью расслабиться и постоянно находится в напряжении. Как правило, она гипертрофирована, через нее все труднее проходит кровь, а эффективность работы такой мышцы неизменно снижается. Более того, зажатая мышца «каменеет», мешая функционированию всего организма и нередко вызывая сильные боли при каждом движении.
Что характерно, редкий человек с данной проблемой спешит к врачу или начинает искать корень проблемы. В большинстве случаев он привыкает к дискомфорту и боли, продолжая месяцами и даже годами сохранять имеющийся мышечный зажим. Результатом этого становится плоскостопие, искривление позвоночника, варикозное расширение вен и другие серьезные заболевания, вплоть до сжатия внутренних органов.
Невроз лицевого нерва
Неврит (невроз N. Facialis) или паралич Белла происходит из-за воспаления нервного волокна. Причины, приводящие к данному состоянию:
- ущемление нерва в результате сужения канала, по которому он проходит. Это может быть врожденным явлением или стать следствием воспаления;
- переохлаждение;
- другие заболевания и инфекции: герпес, паротит, отит, инсульт, онкозаболевания, инфекции ЦНС;
- травма N. Facialis.
Начало заболевания обычно постепенное. Проявляется болью в заушной области. Через пару дней появляются неврологические лицевые симптомы:
- сглаживание носогубной складки, опущение угла рта;
- лицо становится асимметричным с перекосом в здоровую сторону;
- веки не опускаются. При попытке это сделать, глаз подкатывается;
- любая попытка проявить хоть какую-то эмоцию заканчивается неудачей, так как больной не может шевелить губами, улыбаться, манипулировать бровями. Такие проявления способны обостряться вплоть до пареза и паралича мышц лица, то есть до частичной или полной обездвиженности пораженной части лица;
- снижается вкусовая чувствительность, появляется слюнотечение;
- глаза сухие, но наблюдается слезотечение во время еды;
- обостряется слух на пораженной стороне.
Выраженность патологических симптомов зависит от степени и участка поражения нервного волокна. Если заболевание лечилось неадекватно, возможно появление осложнения в виде мышечных контрактур (обездвижения).
Так как болезнь носит воспалительный характер, то и лечение ее направлено на его устранение. Для этого больному прописывают гормональные противовоспалительные препараты – глюкокортикоиды, а также противоотечные средства.
К другим методам относят:
- назначение сосудорасширяющих и анальгезирующих препаратов, витаминов группы В;
- антихолинестеразные средства для повышения нервной проводимости;
- препараты, улучшающие метаболизм в нервной ткани;
- физиотерапия;
- массаж, ЛФК в стадии выздоровления.
И только в крайних случаях, когда консервативная терапия недейственна, прибегают к нейрохирургическому вмешательству.
Если я не понимаю свои эмоции
Если вспомнить о трёх языках — мысли, эмоции и ощущения в теле — бывает, что люди как бы «рассоединяются» между этими тремя языками и не могут или не умеют их соединить в одно целое:
- попросту не знает, что это одно и то же «на разных языках», и пугается;
- вырос в такой семье, где испытывать эмоции не поощрялось, поэтому ему ничего об этом не рассказывали и сообщали, что чувства надо подавлять;
- вообще никогда раньше не задавался подобными вопросами, другие дела были.
Если вам интересно узнать себя получше, то тогда вот он, один из замечательных путей саморазвития: научиться слышать и понимать разные языки своих чувств.
Иногда бывает, что сразу и не сообразишь, какие у тебя мысли или эмоции, и заметить физические ощущения в теле проще. Если это ваш случай, то полезно знать, какие еще бывают ощущения:
«тиски» на висках — тревога, гнев
бурление, прыгание в животе — тревога, страх, ожидание плохого
трепетание в животе, «бабочки», щекотно — тревога, предвкушение, любопытство, смешанное с радостью, особенно, если предстоит что-то важное
сердце стучит, бухает, прыгает — страх, тревога, гнев, возбуждение
живот скрутило, резко сжало, будто под дых ударили — внезапный шок, испуг, возбуждение, резкое и неожиданное чувство
скованность, закоченело, онемело, каменный — злость, недружелюбие, тревога, нежелание чувствовать
стиснутые челюсти — злость, обида
передернуло, затошнило — отвращение
вздрогнул, дернулся — внезапное удивление, боль, страх
приливы жара и холода попеременно — тревога, смущение
горит лицо — гнев, стыд
зуд, что-то чешется — тревога, стыд, гнев
покалывание кожи, мурашки — какая-то эмоция, также ожидание чего-то
слезы выступили — обида, грусть, печаль
ватные руки и ноги — тревога, страх
дрожь во всем теле — или замерз, или сильная эмоция, например, страх, тревога
трясутся руки или голова
тяжесть во всем теле — депрессия, подавленность, бессилие
холод во всем теле или в груди — страх, одиночество, депрессия
комок в горле — грусть, печаль, не можешь что-то сказать
комок в животе — тревога
ощущение пустоты внутри — депрессия, тоска, печаль, одиночество
вспотел — гнев, страх
изменилось дыхание — какая-то эмоция
легкость во всем теле — радость, счастье, надежда
легче дышать — облегчение, радость
на ту же тему: физические симптомы при социофобии, или сильной тревоге
Если ты можешь в какой-то момент понять, что в теле что-то изменилось, предполагай, что ты переживаешь какую-то эмоцию. Спросив себя, какую, и научишься быть в контакте с собой.
Также для тех, кому сложно назвать словами эмоции, в помощь список эмоций, его можно распечатать или сохранить в смартфон и время от времени сверяться, что это там такое сейчас чувствуется.
Итак, ощущения в теле при эмоциях могут быть разнообразные, и это всё нормально. Избавиться от них не получится. У других людей такая же история. Определите, как именно лично вы переживаете разные эмоции, чтобы лучше понимать себя и происходящее.
Ещё раз благодарю всех, кто прислал свои ответы на мой опрос. Вместе мы занимаемся психопросвещением, а это одна из важнейших частей психотерапии.
1Nummenmaa L, Glerean E, Hari R, Hietanen JK. Bodily maps of emotions. Proc Natl Acad Sci U S A. 2014;111(2):646-651. doi:10.1073/pnas.1321664111
Причины эмоциональных блоков
Когда человек сталкивается с психологическим напряжением или эмоциями, которые могут быть как положительные, так и негативные, его тело незамедлительно напрягается. Такие ощущения отличаются наличием осознанности, и человек начинает выпускать эмоции, проявлять их, реагирует определённым образом на возникшую ситуацию. Всё это заканчивается тем, что телесное напряжение полностью проходит.
Если человек будет постоянно сдерживаться и не позволять своим эмоциям выходить наружу, то не будет необходимой разрядки. Соответственно, всё эмоциональное напряжение будет спрятано в телесной оболочке. Не стоит забывать о ситуациях, когда выход могут найти далеко не все эмоции. В результате этого напряжение может быть устранено только частично. Конечным результатом выступают именно эмоциональные блоки и разнообразные зажимы.
Данные блоки остаются в человеческом теле на долгое время. Убрать его можно только после того, как будет высвобождена вся энергия. Для этого потребуется длительная работа с психотерапевтом. Также иногда блоки можно убрать и самостоятельно, путём нивелирования актуальности проблемы через какой-то промежуток времени.
Когда человек активно развивается в духовном плане, он начинает переоценивать события, произошедшие в прошлом. Это помогает устранить возникшие блоки, которые являются результатом многочисленных стрессовых ситуаций. Если блок будет устранён, в скором времени могут появиться весьма положительные трансформации, которые будут происходить непосредственно на физиологическом уровне. В свою очередь духовная деградация может привести к развитию негативных соматических процессов, которые со временем приобретут хроническую форму.
Проработать эмоциональные блоки, устранить негатив и настроиться на позитив поможет курс «Детоксикация мозга».
Общие причины
Страх и неуверенность, а также чувство неполноценности по отношению к остальным являются наиболее частыми причинами эмоциональной блокировки. В настоящее время, экономическая и социальная ситуация предрасполагает нас в большей степени страдать от такого рода блокировок .
Это потому, что коллективное восприятие негативной реальности, которая нас окружает, неосознанно влияет на нас как на людей, которые являются частью группы, поэтому мы могли бы говорить об этом существует негативная социальная атмосфера, в которой преобладают определенные ценности, такие как конкурентоспособность и прагматизм , Эти ценности могут вступать в противоречие с потребностью, которую мы все должны чувствовать в себе, быть любимыми и поддерживаемыми в социальной группе. Другими словами, когда мы не находим социальную группу, в которой мы чувствуем себя представленными и отождествленными, мы, как правило, испытываем кризисы идентичности, которые могут привести к ощущению низкой уверенности в себе.

Поведение, свойственное алекситимии
Патология у каждого больного имеет особенности и симптомы маргинального поведения. Алекситимика психологически разнообразна и с точки зрения особенностей личности — способностей, добросовестности, лояльности, ценностей, поведения и т. д. Внешне такие люди ничем не отличаются от окружающих. Более того, они часто успешны в профессиональной сфере, не требующей эмоциональности.
Людям с алекситимией свойственно конформистское поведение, они не любят конфликтные ситуации, пассивны, не понимают шуток, лицо не выражает эмоций. Почти не встречается экстраверсия – спонтанное проявление чувств, активность, рискованность.
Нарушение психики
Эмоциональность алекситиметиков характеризуется невыразительностью, недостаточностью положительных эмоций, депрессивностью, отсутствием фантазий. Люди с алекситимией редко обращаются за социальной поддержкой.
Основной дефицит личности с алекситимическим складом касается качества межличностных контактов из-за низкой способности сопереживать. Эта черта становится препятствием для построения социальных отношений, особенно интимных. Трудности в распознавании и описании собственных чувств сосуществуют с дефицитом способности распознавать чужие эмоции. Алекситим воспринимается как эмоционально холодный человек, не признающий эмоциональных потребностей партнера или ребенка и не проявляющий интереса к проблемам близких людей.
Такие характеристики потенциально снижают качество жизни больных, что усугубляет их эмоциональные проблемы. Поэтому у таких людей отмечается повышенная частота соматических и психических расстройств, требующих терапии. Конституциональная предрасположенность накладывается на последствия биологического и психологического стресса.
Как распознать выгорание?
Для диагностики выгорания в международной среде длительное время используется методика MBI (Maslach Burnout Inventory). Она включает в себя 22 утверждения о чувствах и переживаниях, связанных с работой, и для каждого из них предлагается 6 градаций оценки — от «никогда» (0 баллов) до «ежедневно» (6 баллов). По итоговой сумме баллов определяется состояние опрашиваемого: деперсонализация, редукция профессионализма (попытка сократить эмоциональные контакты на работе — прим. ред.) или профессиональное истощение.
В российской практике для диагностики синдрома эмоционального выгорания был разработан тест В. Бойко, состоящий из 84 вопросов, на которые нужно ответить «да» или «нет». В. Бойко выделяет три фазы синдрома эмоционального выгорания: напряжение, резистенция и истощение, и тест помогает определить, в какой фазе находится и находится ли индивид.
О появлении выгорания у работников можно узнать из HR-анализа: об этом скажут высокая текучесть кадров и снижение показателей эффективности как одного подразделения, так и компании в целом. Эффективным методом также будет проведение регулярных опросов на выявление признаков СЭВ у сотрудников.
Помимо тестов и опросов, выгорание можно определить с помощью медицинской диагностики. С помощью электроэнцефалограммы (ЭЭГ) регистрируют четыре основных периодических ритма головного мозга, характеризующие разные состояния.
- альфа ритм — состояние спокойного бодрствования;
- бета-ритм — состояние активного бодрствования (напряжённая умственная деятельность) и глубокого сна;
- дельта- и тета-ритм — медленный сон и эмоциональные реакции на негативные ситуации.

Маркером наличия выгорания являются нарушения в отображении «спокойного» альфа-ритма — его уменьшение/отсутствие или нестандартный вид. Это может свидетельствовать о постоянной гиперактивности мозга и процессов, отвечающих за эмоции.
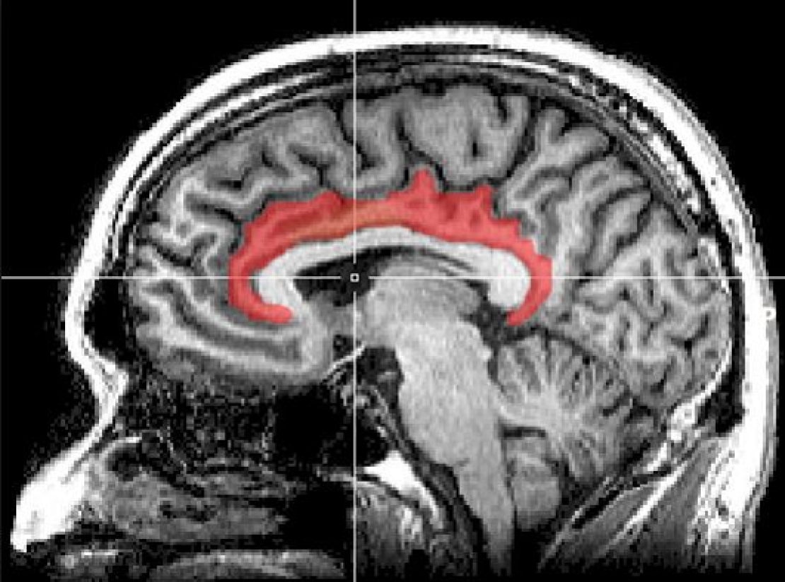
Магнитно-резонансная томография (МРТ) — ещё один вид диагностики, позволяющий идентифицировать синдром выгорания. За эмпатию, эмоциональную регуляцию и распознавание эмоций отвечает лимбическая система мозга (миндалевидное тело, гиппокамп, гипоталамус и поясная извилина). Соответственно, уменьшение активности в этих областях, отслеживаемое на МРТ, может служить маркером выгорания.
Поясная извилина — часть лимбической системы (снимок с МРТ)
При выявлении у себя или у кого-то из своего окружения признаков выгорания правильно будет обратиться (посоветовать обратиться) к психологу или психотерапевту. Поскольку само по себе выгорание не является психическим расстройством, оно не лечится медикаментозно — здесь важна именно работа над собой.






























